
株式会社フィリップス・ジャパン(本社:東京都港区、 代表取締役社長:ジャスパー・アスエラス・ウェステリンク、 以下 フィリップス)は、2025年8月1日に循環器向け超音波診断装置EPIQ/Affiniti CVx Transcend Plusシリーズをリリースしました。
過去の30年間で心血管疾患(CVD)による世界的な死亡数は60%増加し、2021年には世界における主要な死亡要因でした。[1]迅速かつ正確な診断への需要が高まるなか、医療現場での課題が多くなっています。2028年までに医療従事者が約10万人不足されると予想されており[2]、医療従事者の長時間労働や人材不足、検査ニーズへの高まりを解決するものとしてAI技術はますます身近な存在になっています。そのような背景のなか、フィリップスの超音波診断装置は多くのAI技術*を使用した機能が搭載されており、検査の効率化や時間短縮に寄与していることが報告されています。[3-4] Transcend Plus シリーズは昨年リリースされたEPIQ/Affiniti Transcendシリーズの進化版であり、画質の向上とAI機能の強化によりさらに医療現場の問題解決に貢献します。
「Transcend Plusシリーズ」の主な製品特長
1. セクタトランスジューサにおける画質の向上で信頼度の高い検査の実現を目指します
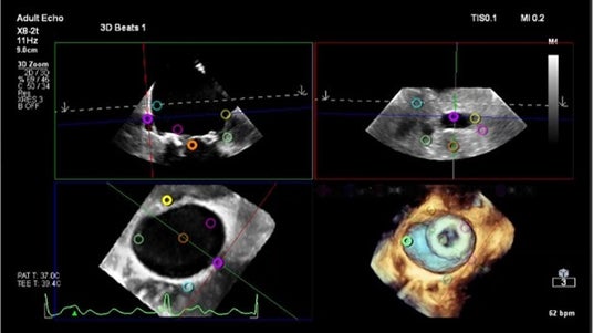
画像処理技術であるnSIGHT PlusやXRes、Image Boostなどを改善し、経胸壁・経食道心エコー用トランスジューサで画質が向上しています。 特にTranscendシリーズでリリースされた細径3D経食道トランスジューサX11-4tは基本の2Dや3D画像のみでなく、3DからのMPR断面の画質も向上しました。3Dボリュームレートも従来のTranscendと比較して高くなっており、心拍数の速い小児での臨床診断にもお役立ていただけます。
2. AI技術の拡張により検査の効率化に貢献します
Transcend Plusシリーズにはディープ・ラーニングによるAIモジュールにより心拍とR波を検出し統合するR-Trigger技術が搭載されました。R-Triggerは自動計測機能Auto Measureや、自動ストレイン解析AutoStrain LV、そして自動駆出率算出機能2D Auto EFと互換性があり心電図がないデータでの計測・解析をサポートします。また、Auto Measureは使用できる計測項目が追加され、よりルーチン検査での計測を効率化することに貢献します。
さらに、壁運動をスコアリングするAuto SWM (Segmental Wall Motion)機能は学習データを増やし、より堅牢に機能することを目指しました。

3. SHD領域でのワークフローの向上「3D Marker」
近年のSHD領域での心エコー図の役割はデバイスの発展とともに高まっています。Transcend Plusには3D Marker機能が搭載され、3DやMPR断面にマーカーを置くことが可能になりました。迅速な判断が求められる環境で、複雑な解剖の理解度を高められることが期待できます。

[1] World Heart Federation. Deaths from cardiovascular disease surged 60% globally over the last 30 years: report. May 2023.
[2] American Hospital Association. 5 Health Care Workforce Shortage Takeaways for 2028. September 2024.
[3] Reduce your 2D diagnostic echo exam time by 20% by incorporating Philips automated solutions into your everyday echo. 270472_VMQ9.0 Claims Evidence Report
[4] The Auto Measure feature can reduce the quantification time by 51%. VM9 claims document 270472 A.
*AI技術の設計にはDeep LearningまたはMachine Learningを使用しており、実装後に自動的に装置の性能・精度は変化することはありません。
販売名:超音波画像診断装置 EPIQ/Affiniti
医療機器認証番号:225ADBZX00148000
管理医療機器/特定保守管理医療機器
販売名:フィリップス 食道向け超音波診断用プローブ X11-4t
医療機器認証番号:306AFBZX00060000
特定保守管理医療機器/管理医療機器
フィリップス・ジャパンについて
株式会社フィリップス・ジャパンは、ロイヤル フィリップスの日本法人として1953年に創業し、医療機器の開発・提供をはじめとするヘルスケアテクノロジーのリーディングカンパニーとして、人々のより良い健康と満ち足りた生活の実現を目指しています。主な事業領域は、画像診断、超音波診断、イメージガイド下治療、生体情報モニタ、ヘルスインフォマティクス、睡眠・呼吸治療、医療機器および電動シェーバーや電動歯ブラシなどのパーソナルヘルスと多岐に渡ります。超高齢化が進む日本の医療・健康課題の解決に貢献し、人々のより良い健康と生活の向上を目指しています。
日本の従業員数は約2,000人、約70拠点でビジネスを展開しています。(https://www.philips.co.jp)
ロイヤル フィリップスについて
ロイヤル フィリップス(NYSE:PHG, AEX:PHI)は、革新的な技術を通じ、人々のより良い健康と満ち足りた生活の実現を目指す、ヘルステクノロジーのリーディングカンパニーです。
フィリップスの革新的技術は人々を中心に設計されています。先進的技術と医療従事者および消費者のインサイトを活用し、消費者にはパーソナルヘルスソリューションを、医療従事者とその患者様には病院や家庭でのプロフェッショナルヘルスソリューションを提供しています。
オランダに本社を置く当社は、画像診断、超音波診断、イメージガイド下治療、生体情報モニタ、ヘルスインフォマティクス、およびパーソナルヘルスの分野で世界をリードしています。フィリップスの2024年の売上高は180億ユーロ、全世界に約69,700人の従業員を擁し、世界100か国以上でビジネスを展開しています。フィリップスに関するニュースはこちらからご覧ください。(http://www.philips.com/newscenter/)