
カリスト株式会社(本社:東京都新宿区、代表取締役CEO:韓昌熙(カリス)、以下「Callisto」)は、医用画像データプラットフォーム「Callisto DataHub」の2周年を記念し、専門医による正解付きの肺がん疑いX線と前立腺がんMRIデータセットを各50症例、無料配布します。いずれも日本の医療施設由来で、所見文付き・商用利用可能なデータセットです。Callisto DataHubでは、日本の医療施設から収集された、匿名加工済みの放射線/病理画像・臨床情報・分子データを販売しています。既に米国・欧州・韓国・日本の15社以上の医療AI企業、医療機器メーカー、製薬企業、アカデミアに利用されています(提供実績:X線、マンモグラフィ、CT、MRI、PET、WSIなど)。
Callisto DataHubが提供するデータセットの特徴
- 日本のデータ
日本の医療施設由来のデータであるため、国内での研究開発(薬事承認申請やマーケティング含む)やアジア人を対象とする研究開発に適しています
- 匿名加工済み
倫理面と法令面に配慮した手続きのもと、適切に匿名加工されたデータセットを利用できます
- 取捨選択済み
画像確認によって要件に不適合な症例(例:重度のノイズや合併症を含む症例)は除外されているので、目的に応じた研究開発が実施できます
- 標準化済み
画像データ、所見文を含む臨床情報、分子データなどは全て標準化されているので、前処理や確認作業の負担を抑えられます
- アノテーション済み
必要に応じて、専門医によるアノテーションも実施できるので、別途のアノテーションは不要です。主要モダリティや疾患では、正解付きデータセットをあらかじめ用意している場合もあります
- 迅速な提供
通常は1カ月程度でデータセットを提供できるので、データセット準備にかかる期間を大幅に削減できます。データ量やアノテーション内容などによっては、2カ月程度かかる場合もあります
Callisto DataHubが提供するデータセットの種類
- 放射線画像
X線(例:肺結節、間質性陰影)、マンモグラフィ(例:乳がん、正常乳房)、CT(例:肺結節、脳梗塞)、MRI(例:脳腫瘍、乳がん)、PET、DXA、透視・血管造影、核医学など
- 病理画像
WSI(例:肺がん、間質性肺炎、乳がん)
- 超音波画像心エコー、産科エコー、甲状腺エコー、乳腺エコーなど
- アノテーション
診断レポートと専門医によるアノテーション(例:病変セグメンテーション、重症度ラベリング)
- 臨床情報
例:年齢、性別、身長、体重、既往歴/家族歴、手術歴、主訴、主要症状/経過
- 分子データ
例:乳がんにおけるER, PgR, HER2などの陽性/陰性情報
Callisto DataHubのデータセット活用例
- AI研究開発
例:画像診断、予後予測、バイオマーカー探索
- 臨床研究
例:臨床試験設計、薬剤の有効性/毒性評価、病理組織学的評価
Callisto DataHubが実現するエコシステム
- 病院・クリニック
匿名加工済みの医用画像と臨床情報(と分子データ)を提供する※必要に応じて、匿名加工はCallisto側で行うことも可
- Callisto
データの取捨選択・アノテーション・標準化を行い、AI研究開発と臨床研究に活用しやすいデータセットとして提供する
- AI企業・製薬企業・医療機器メーカーなど
データセットを購入し、AI研究開発や臨床研究などに利活用する※必要に応じて、CallistoにAI研究開発やコンサルも委託可

無料配布中のデータセット
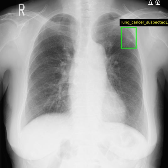
Callisto DataHub 2周年を記念し、専門医が作成した病変BBox付きの肺がん疑いX線データセット 50症例と、病変セグメンテーション付きの前立腺がんMRIデータセット(PI-RADS 4・5) 50症例を無料配布しています。前立腺がんMRIデータセットには、T1w, T2w, DWI, ADC, (あれば)DCEが含まれます。いずれも日本の医療施設由来で、所見文付き・商用利用可能なデータセットです。
さらに、Callisto DataHubのリリースを記念して作成した肺がんCTデータセット 152症例も引き続き無料配布中です。病変および肺野のセグメンテーション付きで、公開データセット「Lung-PET-CT-Dx」に放射線科専門医がアノテーションとダブルチェックを施しており、商用利用も可能です。
申込方法:各データセットの詳細ページ(上記リンクをクリック)から、配布を希望するデータセットを「Inquiry Cart」に追加し、データセット利用規約に同意のうえ、お問い合わせください
まずはAI研究開発や臨床研究との適合性を検証(PoC)していただくため、50症例を無料で提供します。これらのデータセットが役に立ちましたら、DataHub上の他の医用画像データセットや、掲載のないデータセットのご購入についてもご検討ください。肺がん疑いX線データセットについては、病変セグメンテーション付きCTを含むX線/CTペアデータセットも提供可能です。前立腺がんMRIデータセットについても、より大規模なデータセットを提供できます。

肺がん疑いX線データセット

前立腺がんMRIデータセット
■会社概要
社名 カリスト株式会社 / Callisto Inc.
事業内容 医療AI/創薬AI研究開発に向けた医用画像データプラットフォームの運営
創薬AI/医療AIの受託開発とコンサル
役員 代表取締役 韓昌熙(カリス)
社外取締役 加藤木綿美
所在地 〒160-0023 東京都新宿区西新宿2-6-1 新宿住友ビル18階
設立 2022年6月27日
会社URL https://callisto-ai.com

データ提供、データセット購入、創薬AI/医療AIの研究開発委託・コンサル、取材・執筆・講演、協業、出資、採用、その他ご質問・ご相談がございましたら、こちらにてお問い合わせください。
お問い合わせ用メールアドレス:inquiry@callisto-ai.com