シミの印象を薄くする新たなアプローチ。「セージエキス」に血管が伸びるのを抑える効果を確認。
株式会社ナリス化粧品(本社:大阪市福島区 代表取締役社長:村岡弘義)は、幅広い年齢層の肌悩みであるシミが目立ってしまう原因を発見し、独自の抽出で開発した成分がその改善に有効であることがわかりましたので以下に内容をまとめます。
シミが目立ってしまうのはメラニンの茶色だけでなく、ヘモグロビンの赤みの色素が大きく関係している。
シミは、肌の一部にメラニン色素などが沈着することにより、周囲の肌色と比べて明るさの差が生まれることによる色ムラです。そのためシミの目立ち具合は、該当する部位のメラニンの量と相関すると考えられています。しかし、画像処理技術を用いてシミの色を構成している色素ごとに分解してシミの見え方の違いを確認したところ、シミの部位の元画像からメラニンの茶色を取り除いても赤色が残るためシミの存在感が消えずに目立ったままであり(1.)、赤色を取り除くことでシミの存在感が軽減する(2.)ことがわかりました。シミの部位では、肌表面近くまで血管が近づいていることが知られているため、シミの存在感に影響を与える赤みは、血管内の赤い色素のヘモグロビンによるものだと考えられます。




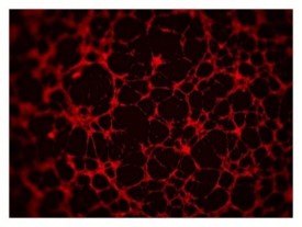
セージエキスに血管のつながりを抑える効果を発見。
当社ではメラニンを作る細胞を含む皮膚モデルと血管を作る細胞を一緒に培養することにより、皮膚モデル中のメラニン量が増加することを確認しました。このことからシミの部位で伸びている血管を抑えることは、肌表面の赤みだけでなく、メラニンによる茶色みの両方に作用し、シミの目立ち具合を改善できると考えました。成分を探索した結果、地中海原産のハーブの「セージ」(和名:ヤクヨウサルビア)に高い効果を確認し、当社の独自手法で抽出した「ピュアセージエキス」(セージ葉エキス)をオリジナル成分として開発することに成功しました。





シミ部位の赤みを減らすと、シミが目立つことを抑えられることを確認。
この研究の成分を配合した美容液を2か月間にわたり、ヒトの肌に塗布する試験を実施した結果、赤みが減少しシミの目立ち具合いが改善されることが確認できました。当社では今後も多角的なアプローチで、悩みを解決するための研究を行っていきます。

